小手术,也能解决大问题。近日景德镇市第一人民医院神经外科成功开展我市首例脑出血立体定向软通道脑内血肿穿刺引流术,患者术后恢复良好。
杨师傅今年45岁,平素有高血压病史,清晨6点左右,杨师傅爱人发现他躺在床上一动不动,鼾声如雷,使劲拍打仍然没有任何反应。杨师傅爱人发现情况不妙,立即呼叫120送往景德镇市第一人民医院急诊科。
急诊科接诊医师根据多年丰富临床工作经验,考虑患者脑出血,情况危急,立即开通绿色通道,全程与护士陪同患者做颅脑CT检查检查结果确诊脑出血。

考虑患者有手术指征,立刻请神经外科潘长福医师会诊。潘长福医师到场时,患者体温不升,鼾声如雷,血压高达200/110mmHg,深昏迷,格拉斯哥(Glasgow Coma Scale,GCS)评分6分(该评分系统最高分15分,最低分3分,分数越低,病情越重,预后越差),双侧瞳孔针尖样大小,对光反射消失,这种情况在神经外科通常被认为是患者的终末状态。颅脑CT提示右侧丘脑出血破入脑室、脑干出血。请示神经外科余兆祥主任后,会诊意见:收治入院,尽一切力量抢救病人生命!
考虑到这名患者非常年轻,是家里的顶梁柱,有三个孩子,小女儿还不到一岁。余兆祥立即组织了手术小组对患者情况进行讨论。“虽然病情严重,但有一丝希望我们都不能放弃”。

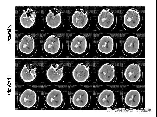
术后当即复查颅脑CT提示脑内血肿腔内引流管位置精确,正中靶心,脑室引流管摆放位置准确,引流通畅。
通过询问病史和阅读CT,手术小组成员余兆祥、潘长福、张熙赟、翁中海等医师讨论后一致认为:(1)患者脑干出血、右侧丘脑出血破入脑室,考虑高血压脑出血,病情极其危重,随时有死亡可能;(2)脑干为生命禁区,该患者脑干出血量约3ml,出血量不大,可暂不处理。右侧丘脑出血量大,有手术指征,但丘脑是大脑高级生命中枢,如行传统开颅脑内血肿清除术,即使手术成功,手术本身对脑组织带来的破坏也将对患者预后造成重大影响,6小时后复查颅脑CT,如脑出血无增多,可行立体定向软通道脑内血肿穿刺引流术+右侧脑室外引流术+颅内压探头植入术。立体定向软通道脑内血肿穿刺引流术治疗脑出血效果肯定,具有定位准确、操作简单、创伤小、血肿减小迅速、神经功能恢复快、费用低等优点,非常适合丘脑等脑深部组织及功能区出血患者。
该患者经保守治疗6小时后,复查颅脑CT提示脑内血肿量无增大,故急诊在全麻下行立体定向软通道脑内血肿穿刺引流术+右侧脑室外引流术+颅内压探头植入术。术前潘长福医师通过微创立体定向治疗脑出血手术配套设备与患者头部CT图像相结合,实现脑内血肿三维立体定位,规划好穿刺路径及穿刺深度。

颅脑CT结果提示脑内血肿腔内引流管位置精确,正中靶心。
术后给予血肿腔内灌注尿激酶、控制血压、止血、抑酸、营养支持、高压氧、肢体康复锻炼等对症治疗。
术后第2天,潘长福医师晚班查房,发现患者已完全清醒,能遵嘱动作,兴奋告知余兆祥主任患者已清醒,大家甚至没有想到患者恢复速度能那么快。虽然患者已经苏醒,但由于其脑干、丘脑出血严重,该科室后续仍在积极治疗,采取了预防患者脑水肿、颅内感染、肺部感染等多种措施。

现在患者神志已完全清醒,思维清晰,语言正常,能大口吃米饭,右侧肢体肌力V级,活动自如,左侧肢体肌力II-III级,仍在康复中,相信患者以后能够进一步,重新返回正常的工作生活中。家属看到杨师傅在病情如此危重情况下能取得了如此好的治疗效果,十分满意,对余主任科室团队的技术赞叹不已,立体定向软通道脑内血肿穿刺引流术,真正实现了:小手术,解决大问题!
神经外科简介
景德镇市第一人民医院神经外科是景德镇市神经外科医疗、教学、科研中心,现有医师7人,其中主任医师及副主任医师3人,主治医师4人,其中硕士2人,肩负景德镇市及周边县市神经外科疾病的诊疗工作。现有病床50张,其中神经外科重症监护病房(NICU)病床5张,拥有先进的临床诊断和治疗设备,包括进口高端神经外科专用手术显微镜1台(ZEISS显微镜)、专用进口多功能手术床1台、神经导航仪、脑立体定向仪、3D脑血管造影机、神经外科专用显微高速磨钻、颅内压监护仪等。在余兆祥主任带领下,该科室已成功开展了显微神经外科、脊柱脊髓和血管性疾病、颅脑创伤等疾病的临床诊疗工作,如颅底肿瘤切除术、功能区脑肿瘤切除术、脑动脉瘤夹闭术、脑内血肿软通道立体定向穿刺引流术、显微镜脑内血清清除术、寰枕畸形减压术、脊柱脊髓肿瘤切除术、脑室腹腔分流术及常规脑外伤手术等。

蔡司显微镜

脑立体定向仪

神经导航仪