
程小华及其家人为骨二科团队送牌匾
8月18日,54岁的程小华(化名)在母亲和姐姐的陪伴下,忐忑地来到景德镇市第一人民医院骨二科求医。此前,他满怀希望走访了多家医院,却没有得到满意的答复,在这里,是否可以回归普通人的生活,圆了自己多年的梦想——正常的行走和奔跑?
意外坠楼、未及时就医导致腿部严重畸形
20多年前,年轻的程小华打工时意外坠楼,却因家中贫困没有及时治疗,导致了腿部严重畸形。这么多年,程小华右腿因为没有得到治疗,旧伤愈演愈烈,关节向外侧翻,走路一瘸一拐,膝盖处由于骨头错位传来阵阵疼痛,让他痛苦不堪。如今,生活条件明显改善了,母亲和姐姐对于他常怀着愧疚的心情,在他亲友的鼓励下,在对健康身躯的热切渴望下,程小华终于走上了求医路,迫切地希望自己的腿能够好起来,能够陪伴自己的孩子。

全心全意为患者考虑避免其奔波外地求医
在本地多方打听都没有得到一个满意的答复,原本已经打算奔赴南昌求医的程小华抱着最后一丝希望找到了市一院骨二科负责人袁志峰。看到程小华的腿,袁志峰心中存有一丝犹豫的。“患者还很年轻,20多年没有治疗,下肢肌肉萎缩,腿部重力线偏移,我们不仅要考虑这一次手术的效果,还要考虑他未来10年甚至20年的生活,所以这个手术对于我的手术团队来说是有挑战性的。”虽然清楚手术的难度,但感受到程小华一家人对美好生活的渴望后,袁志峰仍然愿意为程小华找到一个切合实际的手术方案,这样一来他也不必跑到外地治疗,将节省一大笔费用,给他的家庭减轻很大的经济压力。

骨二科术前讨论

医护团队到病房指导患者复健
科技创新托起患者的“健康梦”
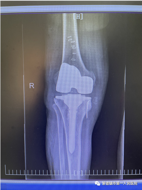
经过多次术前讨论,袁志峰与手术团队医师刘会文共同讨论出手术方案。行表面膝关节置换术,尽量的保留患者更多的骨量,为20年甚至30年以后面临的再次置换提供一个充足的骨量储备。并利用目前医疗领域新的3D数字打印技术,精准进行截骨和假体安放,有效避免术后患者双侧因软组织不平衡而造成的力线偏移,假体就更加稳定,使用的寿命更加长。
8月23日,是程小华“重获新生”的日子,1个半小时的手术过程,在程小华家人心中像过了一个世纪那么长。当得知手术非常成功后,他的家人心中如同放下一块大石。这段时期,骨二科的医护人员经常在程小华的病房指导他复健,9月17日出院时,程小华已经可以像正常人一般行走,他仍然需要积极进行康复锻炼,逐步恢复腿部肌肉。


3D打印技术在医疗领域发展前景广阔
袁志峰介绍,国外术前医疗模型的使用已有很多年,在中国,随着技术的成熟,北京、上海等大医院也将此技术应用到医疗领域。景德镇市第一人民医院骨二科已经成功利用3D打印技术行术前规划,术中导航精准手术治疗9例骨科疾患,及13例颈椎部位椎弓根螺钉的植入。3D数字打印医疗模型,将提高医疗手术精 确度,通过模型能更直观地看到患者骨折损伤状态,能让患者和家属对损伤程度一目了然,便于医患沟通交流的同时,可以方便优化医生的手术方案,大大缩短手术时间、减少术中出血及患者副损伤、达到解剖复位。这项技术虽然并不能完全替代传统的医疗技术,但作为传统医疗技术的有利补充,能为大多数患者提供“私人定制”。

3D数字打印模型
专家简介

袁志峰,骨科主任医师,骨二科负责人,省级高层次人才,中 共党员。任:中国医药教育协会全国青年委员;中国医药教育协会脊柱教育委员会委员;中国研究型医院协会脊柱微创委员会委员;江西省整合医学会创伤委员;江西省保健医学会骨科委员会委员;景德镇市中西医结合学会骨伤委员会副主任委员;景德镇市医学会骨科委员会委员。
2007年江西省一届临床技能大赛“岗位技能标兵”;2012年景德镇市临床技能大赛“个人一名”“岗位技能标兵”;2012年度全市青年岗位能手;2010年至2011年度上海长征医院“优异进修生”;主持完成国家实用新型发明2项、国家发明1项;承担完成省级课题两项,承担完成市级课题4项;参与编写专著两部,独著专著一部;实用新型发明一项;发表论文15篇,中文核心5篇。对骨科的常见,多发病及关节、脊柱的疑难病例均有深厚的造诣,能熟练操作天玑骨科机器人。