11月的一个周末,中午1时许,景德镇市第一人民医院心血管内科骤然响起神经内科要求紧急会诊的电话,值班医生赵元彬接电话后迅速赶往神经内科病房。
“我是刚刚来看望家里亲戚的,突然胸口压榨性疼痛,疼的我出汗,还感觉到恶心”,一位老奶奶带着痛苦难忍的神情向神经内科医师王璐说道。
“老人家,你有慢性病史吗?”
“我有冠心病,装了支架五年了,我感觉挺好的,就停药半年了……”
听到这里,神经内科医师王璐立即警惕起来,在病房里立即给患者予以了心电监护、吸氧,积极建立了静脉通道,完善了心电图。心电图显示,ST段抬高型急性心肌梗死。这随时会危及到生命啊!
“马上通知心内科!”
从患者自述胸口疼痛到联系心内科,只用了十分钟。
心内科值班医师赵元彬复查床边检查结果后,立即汇报上级医师的同时把病情和心电图发送至医院胸痛中心微信群,通知抢救人员及时到岗。
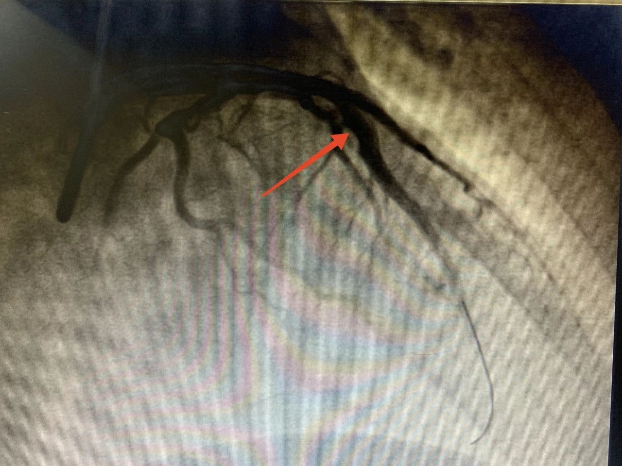
心血管内科主任冯骥、王平得到通知后,马上开通绿色通道,将患者转入心血管内科重症监护病房,同时电话告知家属病情并积极组织抢救。在抢救手术过程中,医院名医工作室专家刘志辉指导行急诊造影,影像显示心脏血管左前降支急性闭塞,立即予以血管开通,成功植入一枚支架。术后前向血流恢复,生命体征稳定。
术前 术后 经过紧急介入手术,患者生命安全得到了有力保障。 回到病房,患者和家属悬着得心终于放了下来。术后查房时,冯骥反复叮嘱患者不能随意停药了。 心血管内科主任冯骥、王平正在查房 心内科专家刘志辉表示,现在是冬天,正是心血管疾病高发的时候。由于冬季人的生理机能反应较慢,经常处于应激状态,从而增加心脏负荷。再加上室内外温差大,血管受到冷空气刺激后突然收缩,导致血流供应中断或血管阻塞,引起急性心肌梗死。尤其是有冠心病病史或“三高”控制不佳的慢性病患者,要养成健康生活习惯的同时,务必规范用药、定期复查,消除心梗危险因素。 景德镇市第一人民医院胸痛中心提醒:发生心梗,不要惊慌,牢记两个“120”,及早前往医院治疗。 第一个“120”,是要及时拨打“120”电话。如胸痛等症状持续15分钟仍没有缓解,应立刻拨打120急救电话。 第二个“120”,是指心梗救治要争取黄金120分钟。并不是说超过120分钟就没有救治的意义了,而是指如能在黄金120分钟内送医救治,可有效缩小心肌梗死范围,大大降低心梗的病死率和致残率。越早进行溶栓、支架等灌注治疗,患者后期生活质量就会更高。

