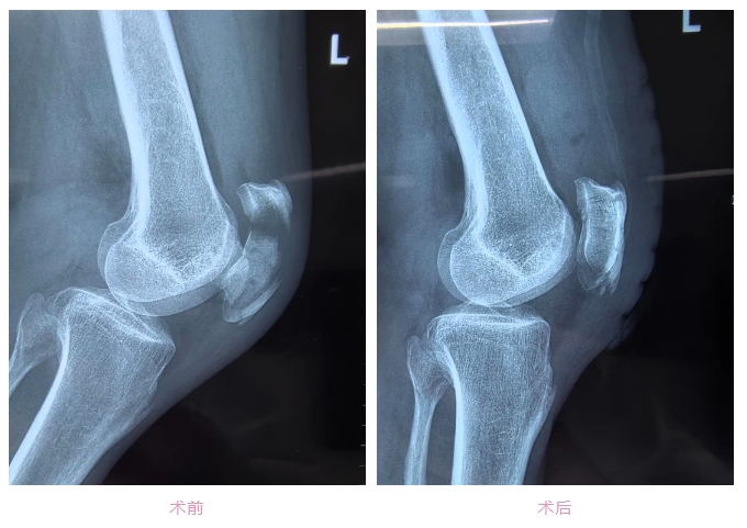
2月3日,大年初四,60岁的陈大爷在家中摔倒,导致了左髌骨粉碎性骨折。通过X光显示,当时,陈大爷不仅左髌骨粉碎性骨折,且碎成了4块。经景德镇市第一人民医院骨科医师团队诊断,打石膏等保守治疗已经无法达到满意的治疗效果,于是市一院骨科专家袁志峰建议陈大爷通过手术的方式纠正并防止再次移位。
然而,钛针固定术使用的是不可吸收的金属材料,需二次手术取出内固定,不仅存在二次手术风险,还会给患者带来额外的痛苦和经济负担。而且,陈大爷对于“二次手术”心理上十分畏惧。 考虑到陈大爷及其家属的意愿,市一院骨科团队袁志峰主任和邓皓医师再三研究探讨,寻求最佳治疗方式,最终决定为陈大爷实施髌骨切开全线固定术。该手术采用可吸收、高强度缝线结合特殊捆扎的方法来固定骨折块,无需二次手术。 “全线固定就如同用网袋固定破碎的髌骨,防止移位,对于手术的精密性要求较高。”邓皓分析,虽然全线固定避免了二次手术的风险,但此类手术更适合劳动负担小、活动量小的老年人,对于术后康复时间更长。而钛针固定法则更加稳固,更加适合年轻人,两种手术各有利弊。 2月8日上午,手术由市一院骨科袁志峰主任医师和邓皓操刀,十分成功。手术历时50分钟。术后第3天,陈大爷便能拄着拐杖下床活动。 “无论是钛针固定或是全线固定,作为医生,我们就要综合考虑到患者的心理、生理以及经济、家庭等各方面的情况,帮助患者去选择更加适合、有效的治疗方式,这才是‘医者仁心’”。骨科主任袁志峰表示。
