浮梁的郑大爷平日里最爱干完农活后喝点小酒,再来一碗热乎乎的排骨汤,用他的话来说,那可是“一天中最享受的时刻”。但没想到,一次喝汤时的匆忙,竟让一块碎排骨悄悄“溜”进了他的气道——郑大爷一个没注意,把碗底的汤一饮而尽,随即一阵呛咳。
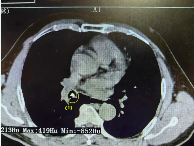
本以为只是普通呛到了,没想到接下来的几天,咳嗽越来越重,尤其到晚上根本没法平躺睡觉,后来甚至还咳出了鲜血。9月11日,郑大爷到浮梁县人民医院做了CT,结果显示右肺支气管有阴影,起初还怀疑是肿瘤,一家人顿时紧张起来。

当天中午12:00,依托医联体建设,他们立即就转至景德镇市第一人民医院,找到了呼吸与危重症医学科的副主任医师郑巍亮。详细问诊和重新阅片后,郑医师判断:“这不像肿瘤,更像是支气管被异物堵住了!”此时郑大爷仍然咳嗽剧烈、间断咯血,情况紧急。主任卢志军、医生郑巍亮快速完成术前准备,联合麻醉科,在无痛支气管镜下迅速探查——果然,在右肺中间段远端发现了一块骨性异物,尖端已扎入支气管黏膜,周围还有出血。
由于异物硬而带尖,常规钳取容易滑脱甚至二次损伤,团队果断使用圈套器精准套住,慢慢经声门完整取出——正是一块碎排骨!

取出后,呼吸与危重症医学科团队发现异物周围黏膜已有瘢痕增生,为避免后续肉芽形成导致管腔狭窄,又进一步做了支气管镜下冷冻消融治疗。手术历时半小时,过程中郑大爷几乎没有不适,醒来之后咳嗽、咯血症状都消失了,他欣慰地说:“感觉又活过来了!”
卢志军提醒,气道异物是生活中常见的急症,尤其老年人和孩子要特别注意。如果存在异物吸入史、不明原因的久咳、肺炎、肺不张等,应尽早行支气管镜检查明确诊断。不少异物若长期滞留,可能引发严重并发症,甚至危及生命。
校 对 丨刘谨萱
一 审丨余 航
二 审丨卢志军
三 审丨胡 妮
文章来源:呼吸与危重症医学科 郑巍亮