脑动脉血栓悄无声息却又极具破坏力,一旦发生,后果不堪设想,快速开通血管挽救大脑是患者能否有尊严活下来的基础。景德镇市第一人民医院神经内科的医护团队为一位患者快速开通脑部血管,历时1.5小时成功取出长达8cm的脑部血栓。应对这类超长血栓,市一院采用了一系列串联病变技术,包括有DSA(经股动脉入路脑血管造影技术)、SWIM技术(支架取栓联合导管抽吸取栓)、二次抽吸技术、同轴输送技术、基底动脉球囊扩张技术、椎动脉支架植入技术等六项技术。

市一院神经内科主任江顺福介绍,取栓的一系列串联病变技术是市一院神经内科前往陆军军医大学新桥医院等多家国内知名医院进修的学习成果。串联病变技术整合了六项操作技术,目前处于国内先进、省内领先水平,难度极高。不仅需要术者对脑血管的复杂解剖结构了如指掌,在面对错综复杂的血管走向时,精准定位血栓位置,还得在操作取栓器械时,拥有极其稳定的手部控制能力,稍有差池,就可能导致血管破裂或血栓脱落引发更严重后果。
病例分享
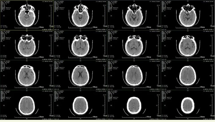
53岁的郭先生在工地上高温作业时,突发意识障碍,约2小时后被紧急送达市一院。入院时,郭先生情况危急,神志不清且无法言语,体格检查无法配合。经神经内科急诊专科医师初步判断是“脑卒中”,快速开启绿色通道完善头部 CT检查。CT显示未见脑出血及坏死低密度区。考虑颅内大血管闭塞,如果不及时进行介入手术治疗,尽快恢复颅内血流灌注,患者将会有生命危险!

术前患者头部CT:颅内少许腔隙性脑梗塞
时间紧迫,分秒必争,急诊科迅速联系神经内科会诊。神经内科主任江顺福、吴明超,医师李国梁与患者及其家属充分沟通后,决定立即实行手术,为郭先生取出脑中血栓。

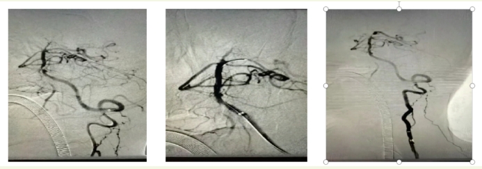
术前DSA技术

手术伊始,神经内科团队运用经股动脉入路脑血管造影技术(DSA),从股动脉插入特殊导管并注入造影剂,清晰呈现血管状况。通路建立后,用微导丝、6F鞘等将2.5×12mm球囊送至闭塞段,采用基底动脉球囊扩张技术对狭窄部位进行两次扩张,同时整合了SWIM技术,放置支架抓取血栓并配合导管抽吸取栓,成功清除大部分血栓。

第一次抽吸后,虽然大部分血栓被成功清除,但血管内的情况发生了变化,血管壁褶皱、分支处可能还隐藏着残余血栓。若不彻底清除,会持续影响血管的正常供血,导致患者病情反复,甚至再次危及生命。神经内科团队决定采用二次抽吸技术,迅速依据实时造影迅速判断残余血栓情况,在已操作过的血管内进行第二次抽吸,精准吸出8cm血栓。

抽吸结束后,发现基底动脉下段可见斑块伴严重狭窄,球囊扩张
江顺福表示,完成抽吸后造影发现基底动脉下段仍存在问题,遂利用同轴输送技术成功植入椎动脉支架,解决血管狭窄问题,历时1.5小时,顺利完成手术。

术后,处理椎动脉起始部病变,给予球扩支架

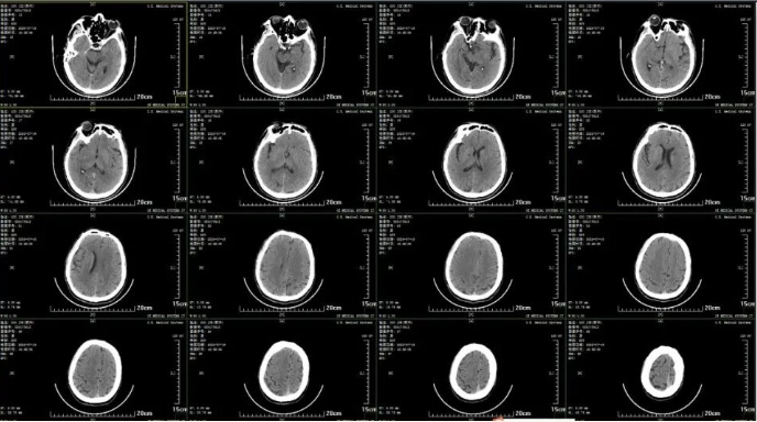
取栓后,患者脑部CT

术后复查CTA

术后一个月随访,患者日常活动正常
取栓后第二天,患者已神志清楚,眼球活动自如,各项生理反射活动正常。现已康复出院。出院一个月后进行随访,患者自述目前仅存在轻微头晕症状,生活自理且日常活动不受限。
在陆军军医大学新桥医院神经内科进修期间,市一院神经内科团队日夜钻研、反复模拟演练,不放过任何一个细节。经过不懈努力,成功掌握了如“二次抽吸”、“踹马桶”(负压抽吸)等关键技术,如今已能够熟练运用,为本地患者带来生命曙光,让更多深受脑部血栓困扰的患者重获健康生活。